While the globe is still taking tiny measures to reduce pollution, new research has shown yet another threat to our ecology. Plastic pollution has been discovered in Antarctica, one of our planet's most remote and pristine locations. Plastics of varying sizes and polymeric compositions have been identified in Antarctic sea ice, surface waters, and sediments, with microplastics reported in both terrestrial and marine organisms. Such research raises concerns about the deleterious effects on biodiversity and ecological functioning. Our understanding of plastic pollution in this polar region will help us define the human footprint in Antarctica and foresee future potential consequences.

Figure 1. Main coastal Antarctic facilities operated by National Antarctic Programmes and recorded findings of microplastics and macroplastics in surface waters, on beaches and in sediments south of the Polar Front. Source: Antarctic Environments Portal Research institutes such as the British Antarctic Survey and the National Environment Research Council are now focused on studying the increasing and concerning issue of microplastics, which are minuscule bits of plastic below 5 mm in size. Various strategies are being used to better understand the spread of microplastics and the function of water currents in depositing these pollutants in such remote places.

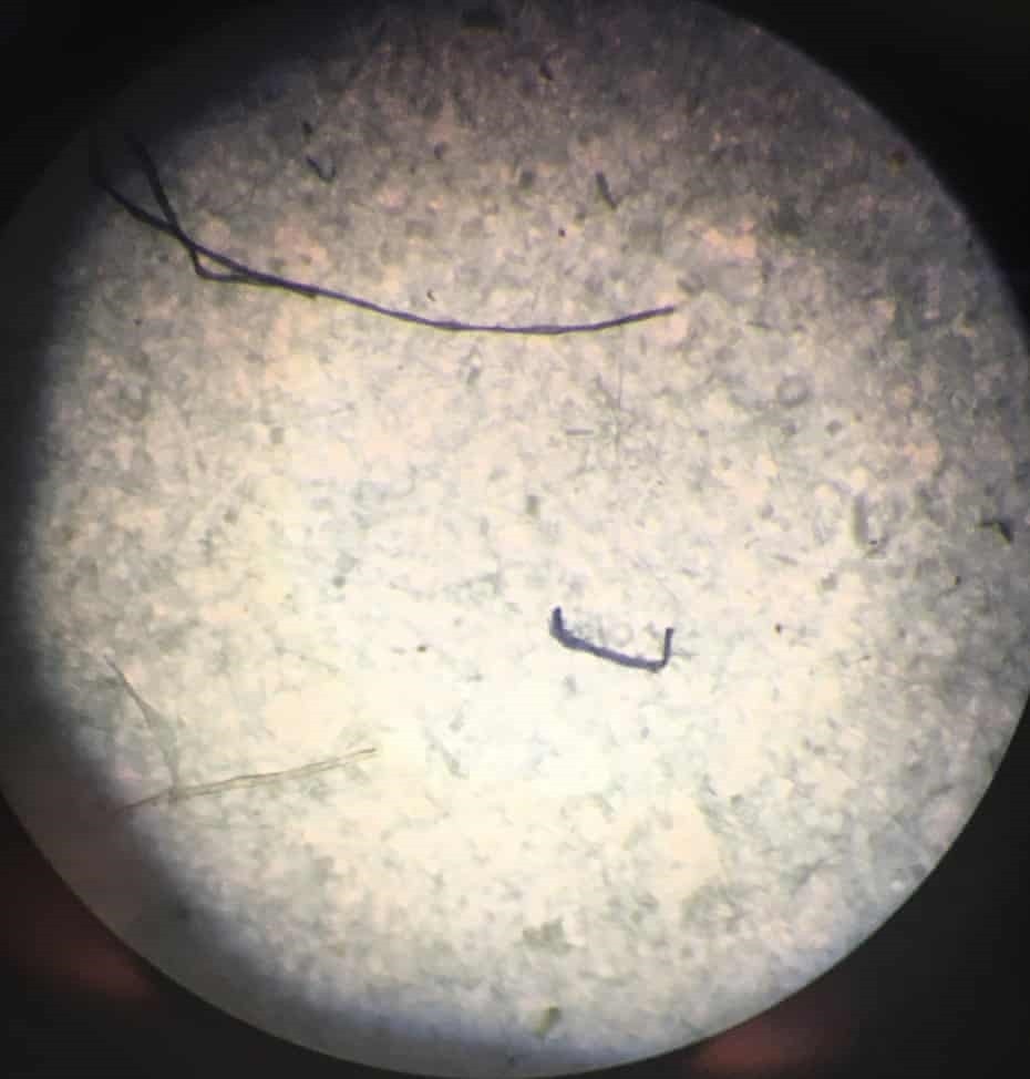
microfibres from Antarctic sea ice seen under a microscope. Photograph: Anna Kelly/Institute for Marine and Antarctic Studies Source:TheGuardian While the impacts of microplastics are still being investigated, it is apparent that they contribute significantly to global warming.[4]
